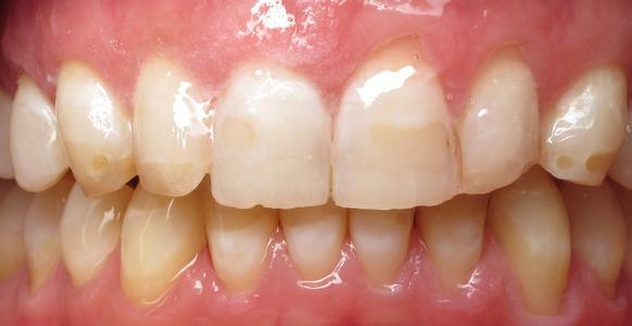
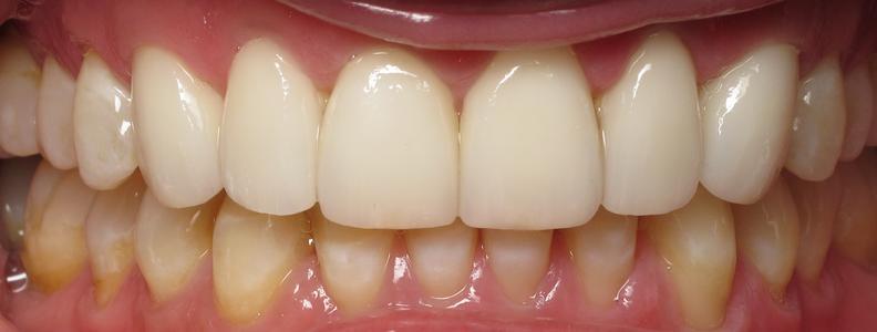
Micro-chips and cracks in these teeth made decay and discoloration a real threat. Using veneers we were able to not only transform the smile, but also make sure this mouth stayed healthy for a long time to come.
Dental Veneers for a Simple Fix
Veneers are a great way to enhance a smile. It is a less invasive procedure compared to dental crowns and bonding. Dr. Robertson is happy to explain our vast cosmetic procedures.
Schedule a Consultation Today
Our Irvine office is always to take new patients. You can schedule an appointment through our contact page or call us during our business hours at (714) 838-7272.
 
 
 
 
