Jeffrey Robertson logo
  • A 39-Year Tradition of Care

    Dr. Robertson founded his family-oriented practice in 1986 to serve Orange County communities. Since that time, our office has developed a strong reputation for providing excellent service with compassion.

Do You Have Questions about Your Teeth? Ask Our Irvine Dentist!
Dr. Robertson
Meet Dr. Robertson

Our team provides a welcoming and friendly environment and we are completely dedicated to exceptional patient care.

About our staff
Tour The Office
The Latest Technology

We believe it's our responsibility to stay up-to-date with the most current trends to provide the most exceptional dental care possible.

Technology
Plan a Visit
Plan a Visit

Contact us to schedule your next dental exam or to ask any questions you may have. We look forward to meeting you!

Make an Appointment
  • “I have been a patient of Dr. Robertson for over 20 years. I'm a sensitive patient when it comes to going to a dentist and Dr. Robertson always remains mindful of that and makes each experience as relaxing as possible. He has the best possible temperament one could ask for in a dentist. He consistently maintains the most professional and extremely friendly staff which combined with his skills makes his practice by far the best choice.”

    - Bill W, Newport Coast
  • “I just finished a session with Dr. Robertson which involved removing a bridge and filling the tooth that held the bridge, then replacing the bridge. Dr. Robertson was very considerate and caring doing the work. He was most careful while doing the procedure and there was no pain involved. He is especially good in situations such as this one was.”

    - Doris R Y.
  • “We're long-time clients of Dr. Robertson & Company, and we love our visits to his office. Dr. Robertson, and all the dental hygienists and staff, provide the very BEST care possible. Whether it's a simple cleaning and check-up, the need for fillings, cosmetic dentistry or other procedures, they do it all, and always with a smile! Dr. R even adjusted my retainer, the last time I was in. I know you'll enjoy the experience they give their patients. Keep up the great work, and you know we'll be back!”

    - Christine C.
  • “I want to thank you for the outstanding customer service that you and your staff have provided to me and my sister Josephine. I also want to thank Dr. Robert Bryan Mcleod and his assistant for the outstanding and great surgery they did on the extraction of my tooth. All of you are a blessing to me and my sister and are very thankful that we have you now and in the future to come. All of you are highly skilled, professional and very caring. I give all of you the highest rating in every category.”

    - Frances M.
  • “When I arrive for my appointments the staff is always friendly and the atmosphere is very welcoming! When I arrive for my appointment, I am acknowledged immediately and seen just as immediately. No one LOVES going to the dentist but it's a necessary evil and it's nice when you have a staff as great as they are. I always feel like I'm in great hands. Thank you Dr. Robertson and staff for all you do.”

    - Cheryl W.

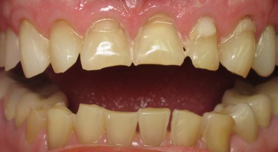
Porcelain Dental Veneers

This patient's teeth were worn down and yellowed from wear, time, and grinding. Using veneers we were able to completely transform this smile.

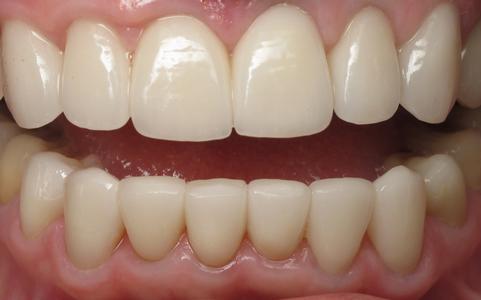
Full smile makeover with veneers

See how this patient's smile appears brighter and the teeth are longer. These are simple fixes that veneers can help patients with. For patients that don't need a full smile makeover our team can make sure the veneer is sculpted to appear natural and beautiful.

Schedule with our Irvine office today

Like what you see? Dr. Robertson is happy to schedule a consultation for anyone wanting to find a way to enhance their smile. Schedule through our contact page or call our office at (714) 838-7272 during regular business hours.

Related Services:

Cosmetic Dentistry

Service Performed By:

Jeffrey Robertson
Not finding what you need?
If you have difficulty using our website, please email us or call us at (714) 838-7272