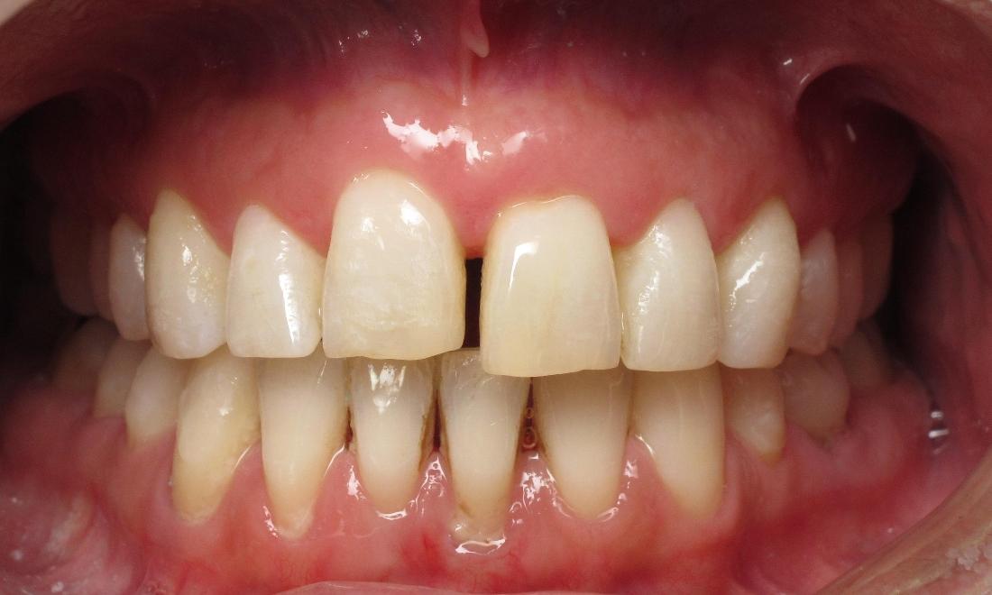
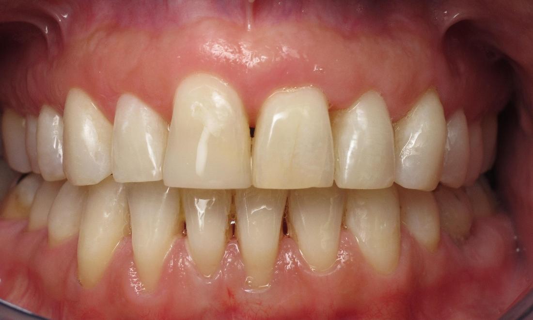
This patient came to us with a gap between the two front teeth. With Bioclear, we were able to use bonding to close that gap with minimal discomfort and bypass the long process of braces.
Dental Bonding to Fix Gaps and More
See how our dental bonding fixes gaps. This goes for all teeth in the mouth! If you have a tooth that seems shorter, slightly stained or more, dental bonding can help fix all of these issues. Learn more on our cosmetic dentistry service page.
Schedule a Cosmetic Consultation with Us Today
Our Irvine office is always taking new patients. Dr. Robertson is highly experienced with cosmetic dental procedures and he will find the right fit for you. Schedule an appointment through our contact page or call us during business hours at (714) 838-7272.
 
 
 
 
